
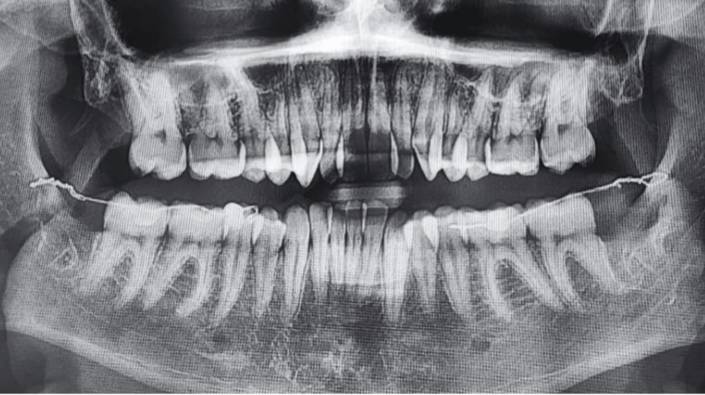
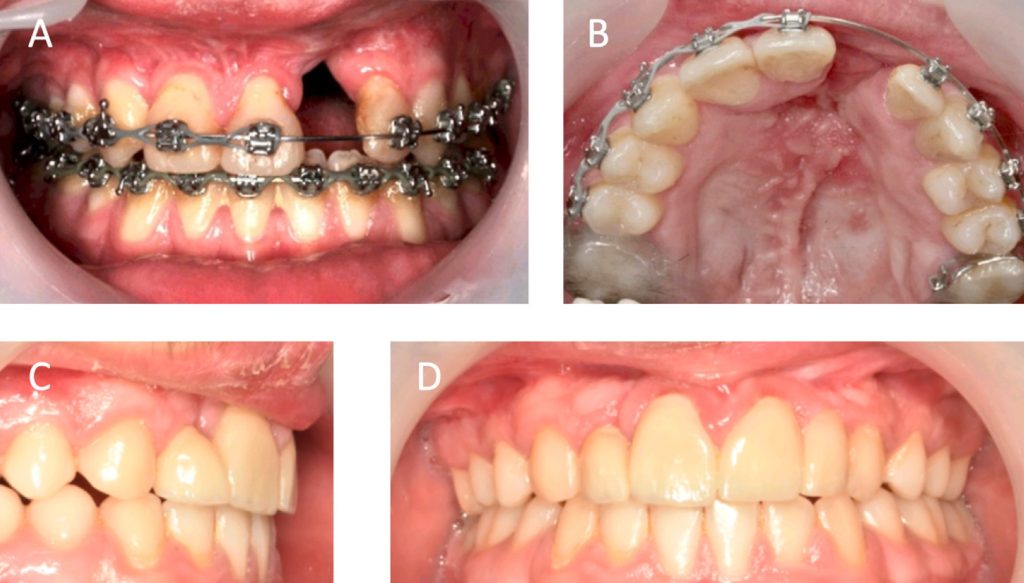
Directo del Journal of Digital Orthodontics les traemos un artículo llamado Severe Class III Malocclusion with Anterior Crossbite and Anterior Crowding: Camouflage Treatment with Premolar Extractions. Los autores nos describen el tratamiento de camuflaje de un hombre de 33 años con maloclusión Clase III esquelética severa (-4.5° ANB), apiñamiento anterior, mordida cruzada y un perfil cóncavo . Debido al rechazo del paciente a la cirugía, optaron por un enfoque ortodóntico .
El tratamiento consistió en la extracción de los segundos premolares maxilares y los primeros premolares mandibulares para generar espacio . Se utilizaron brackets de autoligado pasivos, combinados con tbite-turbos, elásticos Clase III y open coil para corregir la mordida cruzada anterior y retraer el arco mandibular.
Después de 39 meses, se logró un perfil facial y una oclusión satisfactorios . Los resultados incluyeron una mejora de 7° en la inclinación de los incisivos superiores y un mantenimiento del torque inferior, retracción mandibular de 8 mm y del labio inferior de 4 mm. ¿Como llegaron a eso? Muy fácil…









