
Para cerrar la semana les traemos de nuestro Baúl del Recuerdo una nota llamada Combinación de anclaje esqueleto y elásticos intermaxilares en maloclusión clase 2, en la cual compartíamos sin artículo original del JCO llamado Combining Skeletal Anchorage and Intermaxillary Elastics in Class II Treatment.
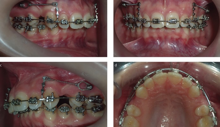
Nos describe un enfoque para la corrección de la maloclusión de Clase II que integra el uso de elásticos intermaxilares con el anclaje esquelético de dispositivos de anclaje temporal (TADs). Este método busca superar las limitaciones de los tratamientos tradicionales, como los efectos adversos asociados a los elásticos de Clase II (extrusión molar, rotación del plano oclusal y proclínación de incisivos) y la dependencia de la colaboración del paciente con los aparatos de salto de mordida . Presenta un caso clínico de una paciente de 12 años con maloclusión de Clase II para demostrar cómo esta combinación logra una corrección sagital efectiva, mejora la estética facial y las relaciones oclusales sin cambios significativos en la dimensión vertical ni efectos dentales adversos incontrolados .
Deberías leerlo porque ofrece una solución prometedora para ortodoncistas, al demostrar cómo minimizar los efectos secundarios no deseados de los elásticos de Clase II mientras se mejora la capacidad de avance mandibular, aprovechando el crecimiento del paciente y manteniendo la estabilidad del plano oclusal.









