Directo del Journal of Digital Orthodontics les traemos un artículo llamado Severe Class III Malocclusion with Anterior … [Leer más...] acerca de Clase III con mordida cruzada anterior y apiñamiento, tratada con camuflaje por extracciones premolares
Main Content


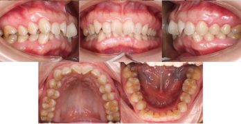
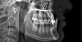
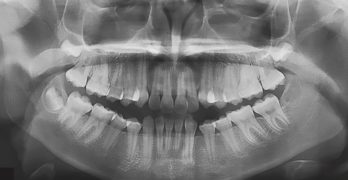
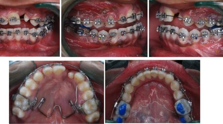
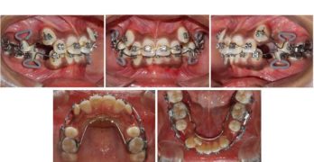
Clase III con mordida cruzada anterior y apiñamiento, tratada con camuflaje por extracciones premolares

Webinar “Ortodoncia y Zona Neutral Muscular: Conceptos Clínicos” por Juan Carlos Solorio
No se pierdan el webinar Ortodoncia y Zona Neutral Muscular: Conceptos Clínicos dictado por el Dr Juan Carlos Solorio … [Leer más...] acerca de Webinar “Ortodoncia y Zona Neutral Muscular: Conceptos Clínicos” por Juan Carlos Solorio

Extracción asimétrica de tres premolares en un clase II división 2 con mordida profunda y desviación de la línea media.
Para comenzar la semana, les traemos un artículo llamado Asymmetric 3-premolar extraction for an adultclass II division … [Leer más...] acerca de Extracción asimétrica de tres premolares en un clase II división 2 con mordida profunda y desviación de la línea media.

Webinar “¿Nuevos avances en los sistemas de autoligado?” por Daniel Segovia
No se pierdan el webinar ¿Nuevos avances en los sistemas de autoligado? dictado por el Dr Daniel Segovia como parte del … [Leer más...] acerca de Webinar “¿Nuevos avances en los sistemas de autoligado?” por Daniel Segovia

Baja de manera gratuita el número 87 de la revista ORTODONCIA ACTUAL
La casa editorial ODONTOLOGÍA ACTUAL, nos trae el número más reciente de la revista ORTODONCIA ACTUAL ( en este caso el … [Leer más...] acerca de Baja de manera gratuita el número 87 de la revista ORTODONCIA ACTUAL

Preservación ortodóntica de dientes con pronóstico periodontal desfavorable en paciente adulto
Para comenzar esta semana les traemos un artículo llamado Orthodontic treatment for preserving periodontally hopeless … [Leer más...] acerca de Preservación ortodóntica de dientes con pronóstico periodontal desfavorable en paciente adulto

Webinar “Diagnóstico integral para la toma de decisiones en ortodoncia de autoligado” por Paulina Popnikolov
No se pierdan el webinar Diagnóstico integral para la toma de decisiones en ortodoncia de autoligado dictado por la Dra … [Leer más...] acerca de Webinar “Diagnóstico integral para la toma de decisiones en ortodoncia de autoligado” por Paulina Popnikolov

Webinar “Manejo del bruxismo con toxina botulínica” por Jorge Muñoz
No se pierdan el webinar Manejo del bruxismo con toxina botulínica dictado por el Dr Jorge Muñoz, como parte del evento … [Leer más...] acerca de Webinar “Manejo del bruxismo con toxina botulínica” por Jorge Muñoz

Webinar “Alineadores termoformados Essix” por Roberto Pesqueira
No se pierdan el webinar Alineadores termoformados Essix dictado por el Dr Roberto Pesqueira, como parte del evento … [Leer más...] acerca de Webinar “Alineadores termoformados Essix” por Roberto Pesqueira

Apiñamiento bimaxilar tratado con extracción unilateral de molares y distalización posterior.
El artículo que compartimos el día de hoy es un reporte de caso clínico que detalla el manejo ortodóntico no quirúrgico … [Leer más...] acerca de Apiñamiento bimaxilar tratado con extracción unilateral de molares y distalización posterior.

Diseño y precisión de una nueva cucharilla de transferencia de brackets, CAD-CAM delgada y rígida
Empezemos el año con ciencia y ortodoncia. Directo del número mapas reciente del AJODO, traemos un artículo llamado … [Leer más...] acerca de Diseño y precisión de una nueva cucharilla de transferencia de brackets, CAD-CAM delgada y rígida

Orthohacker´s Greatest Hits 2025.
Fin de año, y eso solo puede significar una cosa, nuestro clásico e infame ORTHOHACKER´S GREATEST HIST, versión 2025. … [Leer más...] acerca de Orthohacker´s Greatest Hits 2025.

Micro-oclusión Cuántica: ¿La Nueva Revolución en Ortodoncia?
En el transcurso de los últimos meses, si han puesto atención a varias investigaciones publicadas en varios journal de … [Leer más...] acerca de Micro-oclusión Cuántica: ¿La Nueva Revolución en Ortodoncia?

Feliz Navidad 2025 y baja de manera gratuita el ebook Planet of Orthodontics Vol. 7 Adults and complex cases in orthodontics
¡Feliz Navidad Ortodoncistas! Ho Ho Ho…. Ya lo saben que desde el fondo del corazón del tintero de las HQ de … [Leer más...] acerca de Feliz Navidad 2025 y baja de manera gratuita el ebook Planet of Orthodontics Vol. 7 Adults and complex cases in orthodontics

Webinar “Top 10 de los procedimientos con láser en la consulta de Ortodoncia” por Ángela Domínguez
No se pierdan el webinar Top 10 de los procedimientos con láser en la consulta de Ortodoncia, dictado por la Dra Ángela … [Leer más...] acerca de Webinar “Top 10 de los procedimientos con láser en la consulta de Ortodoncia” por Ángela Domínguez

Webinar “La revolución Damon Última: llenando el slot… sin llenarlo”, por Nasib Balut.
No se pierdan el webinar La revolución Damon Última: llenando el slot… sin llenarlo dictado por el Dr Nasib Balut, como … [Leer más...] acerca de Webinar “La revolución Damon Última: llenando el slot… sin llenarlo”, por Nasib Balut.

Tratamiento ortopédico de las deficiencias maxilares en pacientes con labio y paladar hendido
El artículo trata sobre la gestión ortopédica del déficit maxilar en pacientes con labio y paladar hendido. Los autores … [Leer más...] acerca de Tratamiento ortopédico de las deficiencias maxilares en pacientes con labio y paladar hendido

Distalización asimétrica con extracción de terceros molares para la corrección no quirúrgica de la mordida abierta esqueletal clase III y desviación mandibular
Para comenzar la semana traemos un artículo llamado Asymmetric mandibular arch distalization with third-molar … [Leer más...] acerca de Distalización asimétrica con extracción de terceros molares para la corrección no quirúrgica de la mordida abierta esqueletal clase III y desviación mandibular

BDR CCCV: Tratamiento sin extracciones, pseudoclase 3, apiñamiento severo y mordida profunda y cruzada anterior
Terminamos la semana, con una nota de nuestro infame Baúl del recuerdo. La nota se llama Tratamiento sin extracciones, … [Leer más...] acerca de BDR CCCV: Tratamiento sin extracciones, pseudoclase 3, apiñamiento severo y mordida profunda y cruzada anterior

Transformación Estética y Funcional en Maloclusiones Clase II División 2 con el Carriere Motion
El artículo que compartimos el día de hoy se llama Management of Class II division 2 patient treated with Carriere … [Leer más...] acerca de Transformación Estética y Funcional en Maloclusiones Clase II División 2 con el Carriere Motion

