
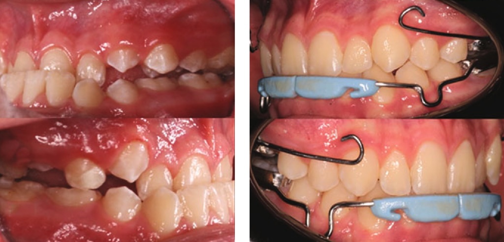
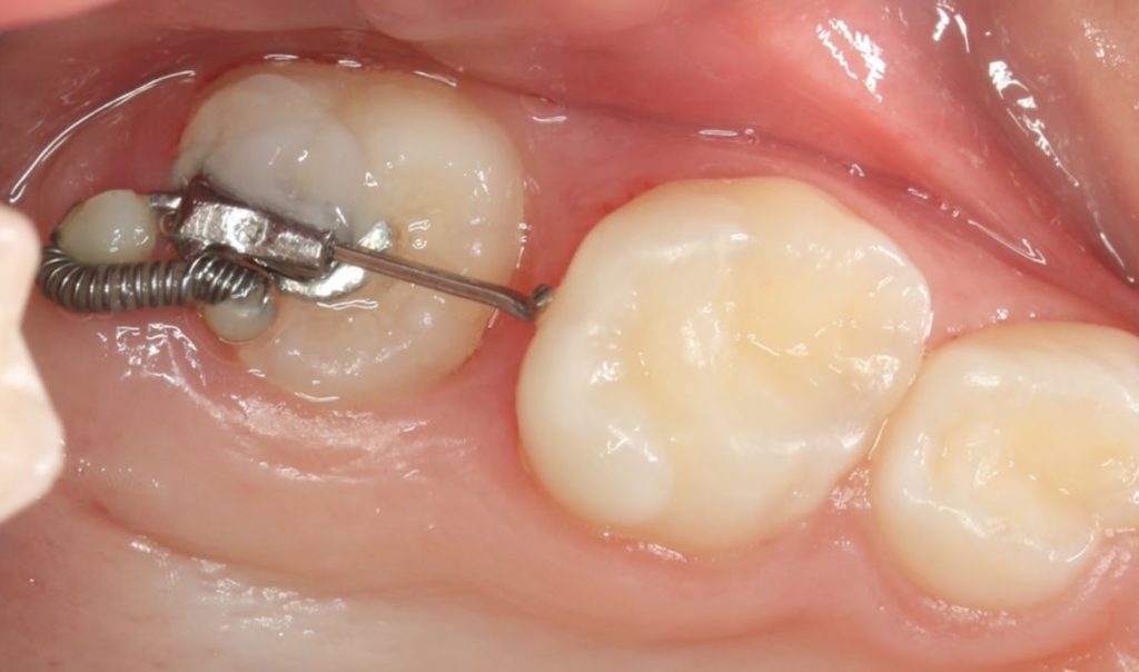
artículo que compartimos el día de hoy se llama Cone-beam CT evaluation of orthodontic treatment outcomes for multiple impacted maxillary anterior teeth y fue publicado en el BMC Oral Health , esta investigación evaluó los resultados del tratamiento de ortodoncia para múltiples dientes anteriores superiores impactados, utilizando tomografía computarizada de haz cónico (CBCT) para analizar el desarrollo de la raíz y la fijación del hueso alveolar después de la tracción.
Los hallazgos principales revelaron que los incisivos centrales y laterales impactados presentaban raíces significativamente más cortas y un menor porcentaje de la raíz dentro del hueso en comparación con los dientes no impactados. Por otro lado, los caninos impactados mostraron un desarrollo radicular superior y una tasa de éxito de tracción más alta.
A pesar de que la tracción ortodóntica permite preservar estos dientes, el estudio concluyó que la fijación del hueso alveolar después del tratamiento es a menudo subóptima, con patrones específicos de pérdida ósea (labial para incisivos centrales y caninos, y palatina para incisivos laterales), lo que subraya la importancia de una gestión cuidadosa y el seguimiento a largo plazo
Este artículo es esencial para residentes de ortodoncia y ortodoncistas porque aborda la compleja gestión de múltiples dientes anteriores impactados, un desafío clínico significativo y cada día más común. Proporciona datos detallados de CBCT sobre el desarrollo radicular y la fijación del hueso alveolar post-tracción, destacando diferencias críticas entre incisivos y caninos. Y ofrece información crucial para la planificación del tratamiento, la reducción de riesgos y la predicción del pronóstico, mejorando las habilidades diagnósticas y terapéuticas.









