Ya teníamos rato de no colocar notas aquí con implantes en el shelf…. perdón, en la cresta infracigomática. Hoy traemos un articulo de la revista APOS Trends in Orthodontics llamado Biomechanics of extra-alveolar mini-implant use in the infrazygomatic crest area for asymmetrical correction of class II subdivision malocclusion
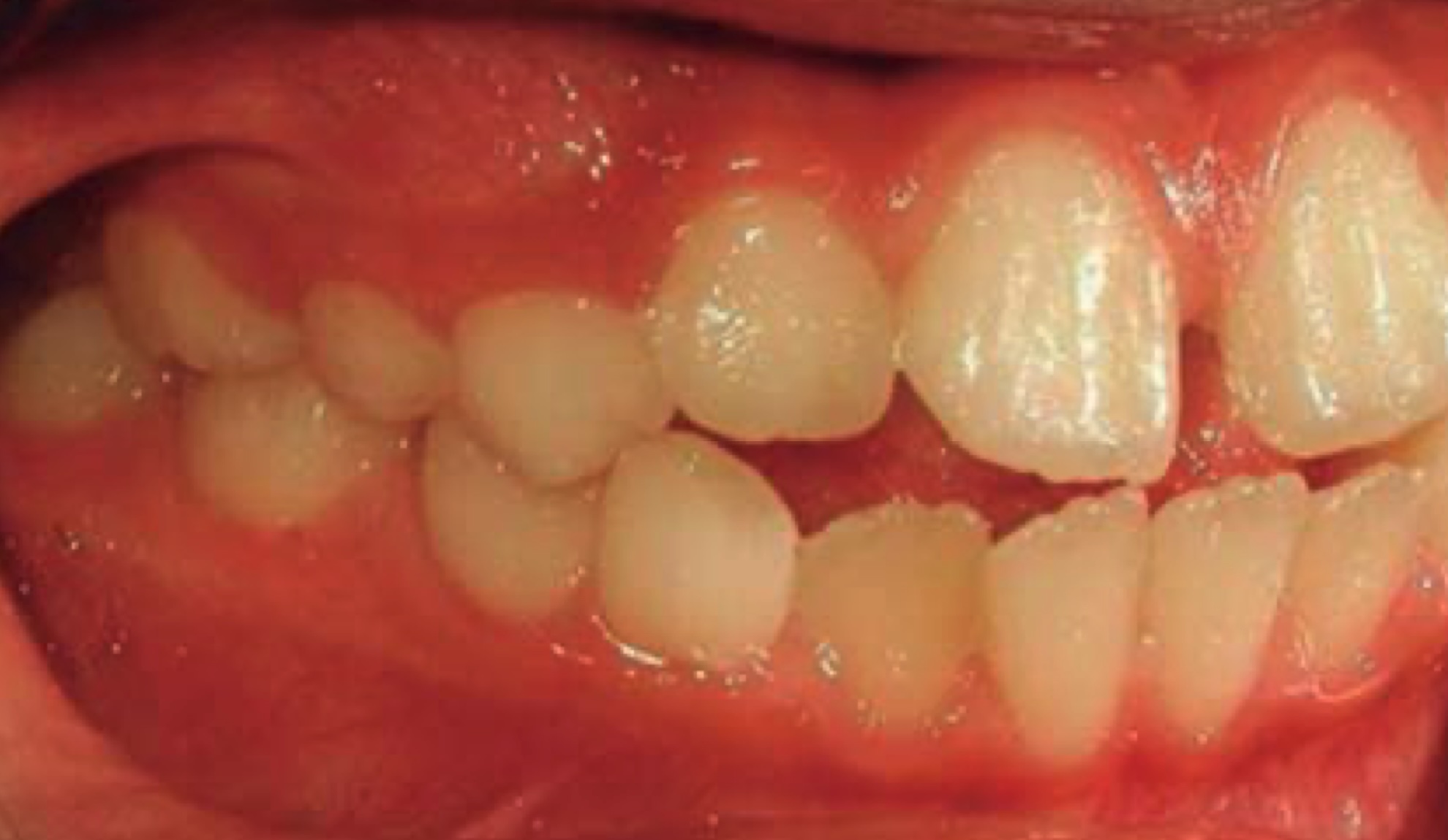
El objetivo del artículo es presentar un caso clínico de maloclusión asimétrica (subdivisión Clase II división 1), en el que se utilizó un mini-implante colocado en la zona de la cresta infracigomática para la corrección de la asimetría maxilar mediante distalización unilateral. La biomecánica de la distalización molar unilateral combinada con el anclaje esquelético permitió lograr resultados predecibles con una necesidad mínima de cumplimiento por parte del paciente y efectos secundarios menores.

¡Atención hardcorefanboysfromhell de FACE!, les traemos nuevas buenas. El día de ayer empezó a correr una noticia, la familia Forestadent empezó a sacar la publicidad de su nuevo bracket de ligado convencional Mini-Sprint II con la prescripción de FACE. Hay que recordar que solo lo tenían en autoligado, y que faltaba la versión de ligado convencional.
Les traemos una excelente noticia, al menos para algunos, a partir del 10 de septiembre empezará la segunda parte de la cuarta temporada de Ortodoncia Basada en Evidencia. Junto con el Dr. Daniel Segovia seguiremos llevando a nuestros lectores nuevos análisis y resúmenes de revisiones sistemáticas y meta-análisis publicados en journals de ortodoncia.
Al fin es viernes, y aunque en la noche no iremos a ningún huateque, les traemos de nuestro infame Baúl del Recuerdo una nota llamada Influencia de ciertas características de los dientes en la evaluación estética de una sonrisa. Desde la cual pueden bajar el artículo Influence of certain tooth characteristics on the esthetic evaluation of a smile, y fue publicado por el Dental Press Journal of Orthodontics.
Seguimos con nuestros jueves de evidencias, y de nuestra página hermana Ortodoncia Basada en Evidencia traemos una nota llamada Expansión Palatina Rápida y sus “terribles” efectos ocultos. Evidencia de daños. en la cual se analiza la revisión sistemática de nombre Alveolar bone changes after rapid maxillary expansion with tooth-born appliances: a systematic review.
Sacado del número más reciente del JCO, les traemos un artículo llamado Treatment of Skeletal Class II Open Bite with the Triple Intrusion System, este reporte de caso describe la intrusión en masa de los dientes posteriores superiores y la rotación anterior de la mandíbula utilizando un sistema de triple intrusión consistente en implantes multipropósito, férulas posteriores maxilares y minitornillos en el paladar.





