
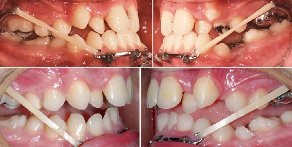
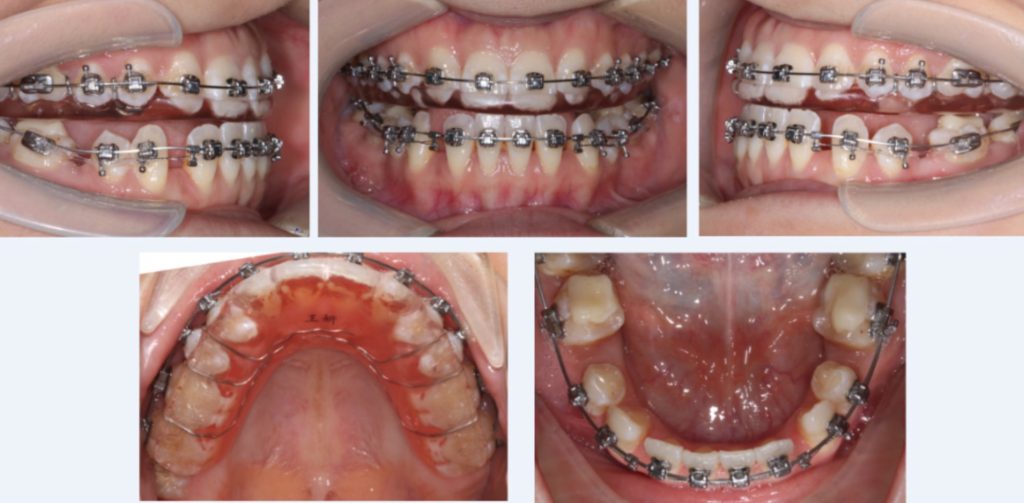
Terminamos la semana, con una nota de nuestro infame Baúl del recuerdo. La nota se llama Tratamiento sin extracciones, pseudoclase 3, apiñamiento severo y mordida profunda y cruzada anterior, en la cual compartimos un articulo original del JDO (editado por el Dr. Chris Chang), llamado Non-Extraction Treatment of Pseudo-Class III Anterior Cross-Bite Complicated by Severe Crowding, Deep-Bite and Clenching.
Un excelente reporte de caso de maloclusión pseudo clase 3, el cual ha sido tratado sin extracciones. Muy buena lectura para el fin de semana.









