
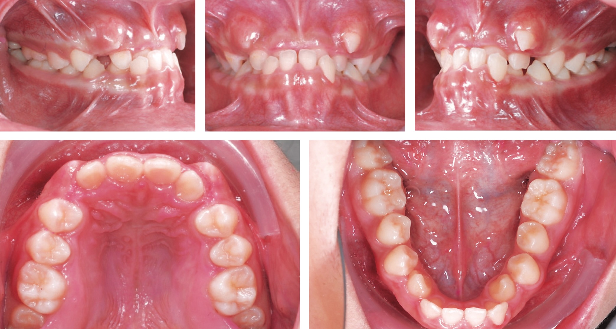
Del número más reciente del JDO (editado por el Dr. Chris Chang), traemos este artículo de nombre Non-Extraction Treatment of Pseudo-Class III Anterior Cross-Bite Complicated by Severe Crowding, Deep-Bite and Clenching. En el cual nos muestan el tratamiento de un joven de 13 años de edad, pseudoclasee 3, mordida profunda y cruzada anterior, el tratamiento fue llevado sin extracciones. Se utilizo autoligado pasivo, bite-turbos en molares, elásticos cortos clase 3 tempranos.
¿Cómo quedo el caso? No se diga más, aquí les dejamos el link.




Deja un comentario