
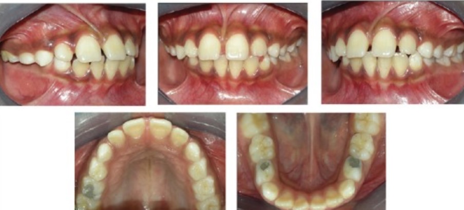
Para terminar la semana y en tradición a nuestro Baúl del Recuerdo, traemos una nota llamada Corrección temprana de una mordida de tijera unilateral usando un Transforce y un Twin Block modificado. En la cual compartimos un artículo llamado Early correction of unilateral scissor bite using transforce appliance and modified twin block appliance y publicado en el Journal of Orthodontic Science.
Dicho artículo trata sobre un enfoque de tratamiento temprano para corregir una mordida en tijera unilateral en un niño de dentición mixta. Utiliza un aparato llamado transforce lingual para expandir y corregir el problema, seguido de un aparato twin block modificado para estabilizar y mantener la oclusión hasta la erupción de los premolares. Finalmente, los autores usaron brackets, y los resultados se mantienen a los dos años post-tratamiento.









