
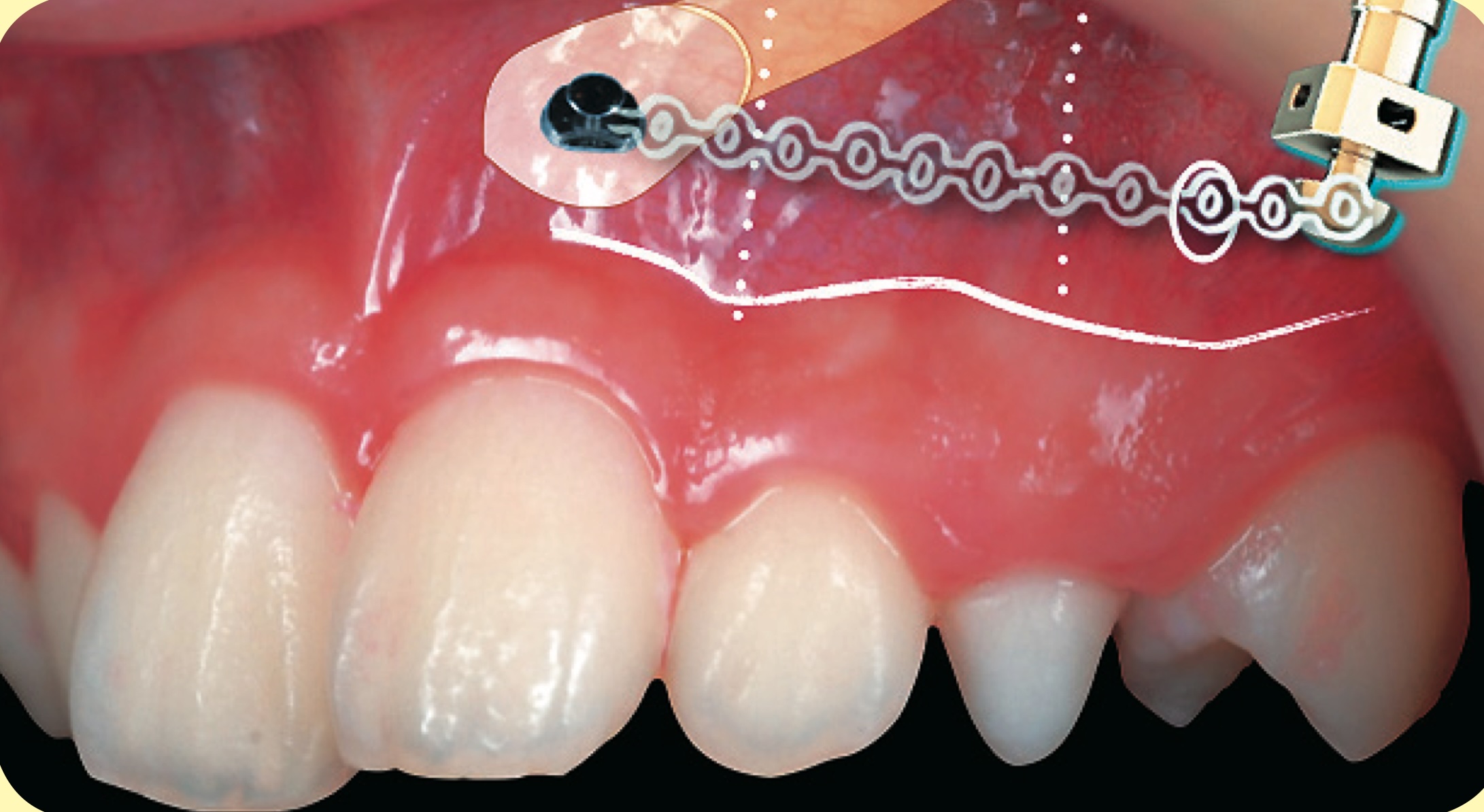
Para terminar la semana, traemos una nota llamada Manejo de canino maxilar impactado con la técnica VISTA, en la cual compartimos un artículo original llamado Impacted Maxillary Canine with the Vertical Incision Subperiosteal Tunnel (VISTA) Technique. El artículo trata sobre el manejo de un canino maxilar impactado utilizando una técnica modificada llamada VISTA (Vertically Incised Subperiosteal Tunnel Access).
Específicamente, describe un caso clínico de un niño de 11 años con canino impactado, que además presentaba una maloclusión de Class II con protrusión maxilar, y cómo se utilizó esta técnica mínimamente invasiva para localizar, liberar y alinear el canino impactado, mejorando la oclusión y evitando daños mayores en las raíces cercanas.




