
Para comenzar la semana, les traemos un artículo llamado Asymmetric 3-premolar extraction for an adultclass II division 2 subdivision with deep bite and midline deviation A case report, publicado recientemente en el journal Medicine.
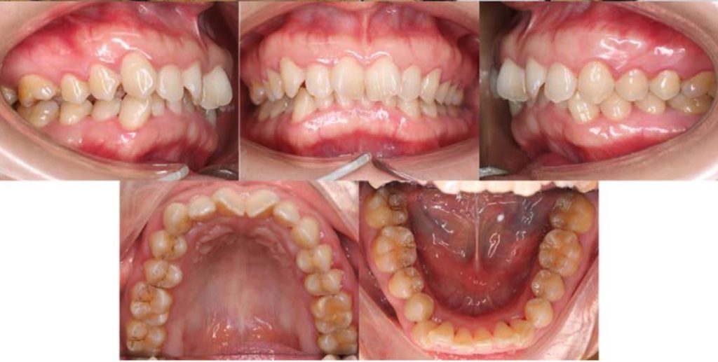
El artículo trata sobre un reporte de caso clínico que describe el diagnóstico y manejo ortodóntico de una paciente adulta con una maloclusión de Clase II división 2 (unilateral) con mordida profunda y desviación de la línea media. El caso se manejó con un protocolo de extracción asimétrica de 3 premolares: ambos primeros premolares maxilares y el segundo premolar mandibular en el lado de la Clase II.
Los autores concluyen que para casos seleccionados de Clase II subdivisión en adultos, la extracción asimétrica de 3 premolares es una alternativa predecible y que minimiza la dependencia de la colaboración del paciente (a diferencia de las extracciones simétricas de 4 premolares que requieren elásticos Clase II).




Me parece bien que nos comparta información que hses nosotros no tenemos acceso gracias.