Tratamiento de un premolar impactado con dilaceración radicular causada por un quiste radicular en un molar deciduo

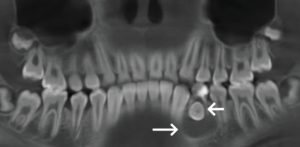
Para comenzar la semana les traemos un artículo llamado Management of Impacted Premolar With Root Dilaceration Caused by Radicular Cyst in Deciduous Molar: A Case Report, publicado en el Case Reports in Dentistry. Este reporte trata sobre un caso clínico en el que un niño de 11 años tenía un quiste radicular en un diente … Sigue leyendo Tratamiento de un premolar impactado con dilaceración radicular causada por un quiste radicular en un molar deciduo