Intrusión de un molar sobreerupcionado por medio de implantes ortodónticos para un fin protésico
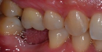
Este reporte de caso, llamado Intrusion of an Overerupted Maxillary Molar with Orthodontic Mini Implants for Implant Restorative Purposes, presenta el uso de implantes de ortodoncia para intruir un primer molar maxilar (sobreerupcionado) como una estrategia para obtener suficiente espacio interoclusal para reemplazar un primer molar opuesto inferior. El artículo fue publicado en el Journal … Sigue leyendo Intrusión de un molar sobreerupcionado por medio de implantes ortodónticos para un fin protésico
Copia y pega esta URL en tu sitio WordPress para incrustarlo
Copia y pega este código en tu sitio para incrustarlo